What Is Pneumothorax In Dogs? Causes, Symptoms, And Treatment
Di: Ava
(Top) Signs and symptoms Toggle Signs and symptoms subsection Tension pneumothorax Cause Toggle Cause subsection Primary spontaneous Treatment options for primary spontaneous pneumothorax include intermittent aspiration of air via needle thoracocentesis or chest tube, continuous suction of the pleural space, or exploratory thoracotomy. Dogs treated with needle thoracocentesis or chest tube drainage usually have recurrent pneumothorax.
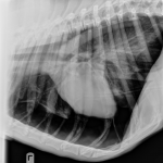
Pneumothorax is a medical condition in which air accumulates in the pleural space (the space between the lung and chest wall), causing the lung to collapse partially or completely. This can lead to breathing difficulties and, in severe cases, life-threatening complications. Pneumothorax Pneumothorax is the accumulation of air in the pleural space with a secondary Pneumothorax is a condition where air collects in the pleural cavity and causes the lung to collapse. Symptoms include chest pain and breathlessness. Surgery is performed in serious cases to remove the blebs or bullaes and re-expand the lung. Explore causes, symptoms, and treatments of pneumothorax in cats to ensure your pet’s health and well-being. When your cat experiences breathing difficulties, it could be a sign of pneumothorax – a serious condition where air accumulates between the lungs and chest wall.
Atelectasis: Causes, Symptoms, Diagnosis & Treatment

This review article will review treatment and prognosis of spontaneous pneumothorax in dogs and cats. The advantages of surgical and medical management in dogs and cats, as well as current treatment practices, including autologous blood pleurodesis and small-bore chest tubes, will be discussed. Pneumothorax Traumatic pneumothorax is the most frequent type of pneumothorax in dogs. It most often occurs due to blunt trauma (i.e., vehicular accidents, being kicked by a horse), which causes parenchymal pulmonary damage to the lung and a closed pneumothorax. When the thorax is forcefully compressed against a closed glottis, rupture of the lung or bronchial tree
Increased lung sounds may be present on thoracic auscultation, or lung sounds may be quiet if concurrent pneumothorax is present. Trauma is a common Closed pneumothorax, a condition where air accumulates in the pleural space without an apparent external wound, presents unique challenges in diagnosis and treatment. Gain insights into its causes, symptoms, and modern management approaches.
Pneumothorax: Understanding the Condition of a Collapsed Lung Introduction Pneumothorax, commonly referred to as a collapsed lung, is a medical condition that occurs when air enters the pleural space—the cavity between the lungs and the chest wall. This accumulation of air can lead to lung collapse, causing significant respiratory distress and discomfort. Understanding Hemopneumothorax is when blood (hemothorax) and air (pneumothorax) enter your pleural space, usually from an injury. Learn the early signs and symptoms of pneumothorax in dogs, treatment options, and how to respond to this critical health emergency.
Treating Underlying Causes: Identifying and addressing the underlying cause of the tension pneumothorax is essential for preventing recurrence. This may involve treating conditions such as lung infections, trauma, or underlying lung diseases that contributed to the development of the pneumothorax.
Pneumothorax In Dogs: Symptoms, Causes, & Treatments
Tension pneumothorax can develop from any type of pneumothorax. However, it is most commonly seen after a traumatic chest injury or in individuals breathing through mechanical ventilation. Traumatic tension pneumothorax Open chest wound, like a stab wound or a gunshot Closed trauma, like a rib fracture Mechanical ventilation High positive pressure during the However, the outlook for many disorders that cause accumulation of fluid in the chest is guarded to poor. Air in the pleural cavity, called pneumothorax, may be caused by trauma or occur spontaneously. The lung collapses if a large volume of air enters the pleural cavity, causing difficulty inhaling or rapid, shallow breathing. Once spontaneous pneumothorax has been diagnosed (discussed in part one of this series) and the patient stabilized, definitive treatment consists of addressing the underlying cause. Dogs commonly develop spontaneous pneumothorax due to bullae or blebs, while cats usually have underlying inflammatory disease, like feline allergic airway disease. As a result,
- Thoracic Trauma in Dogs and Cats
- What Should You Know About Leptospirosis? Symptoms, Causes, and Treatment
- Atelectasis: Causes, Symptoms, Diagnosis & Treatment
- Lung: atelectasis in Dogs
- Spontaneous Pneumothorax: Management and Prognosis
Pneumothorax: Causes, Symptoms, and Diagnosis Pneumothorax, commonly known as a collapsed lung, is a medical condition characterised by the presence of air or gas in the pleural space, which can impair the lungs‘ ability to expand. This article delves into the causes, types, symptoms, diagnosis, and treatments of pneumothorax, guided by the latest BTS (British
View Pneumothorax & more Canis resources at Vetlexicon. Over 28,000 peer-reviewed resources: Canis, Felis, Lapis, Exotis, Equis, Bovis & Avis.
Understanding pneumothorax is crucial for recognizing its symptoms, causes, and treatment options, as well as for knowing when to seek medical attention. This article aims to provide a comprehensive overview of pneumothorax, making it accessible to a general audience while ensuring medical accuracy.

Explore causes, symptoms, and treatments of pneumothorax in cats to ensure your pet’s health and well-being. When your cat experiences breathing difficulties, it could be a sign of pneumothorax – a serious condition where air accumulates between the lungs and chest wall.
Definitive treatment of pneumothorax depends on the underlying cause, but there are commonalities across the spectrum of patients who develop this condition. Most dogs require hospitalization until the air accumulation within the chest cavity has stopped or stabilized. Table 1. Summary of current literature about fibrosing pleuritis in dogs and cats. The aim of this case report is to describe clinical presentation, imaging alterations, treatment and outcome in a dog with pneumothorax caused by pleural fibrosis after Learn about the causes, symptoms, and treatment options for dermatitis in dogs. Discover how to keep your furry friend’s skin healthy and comfortable.
INTRODUCTION Pneumothorax (gas in the pleural space) is considered spontaneous when it presents in the absence of an external factor. Primary spontaneous pneumothorax (PSP) presents in the absence of clinical lung disease while secondary spontaneous pneumothorax (SSP) presents as a complication of underlying lung disease or injury (table 1). The recurrence Pneumothorax in cats is characterized by air occupying the space surrounding the lungs. If your cat is suffering from pneumothorax, he or she will have a great breathing difficulty, which is often fatal if left untreated.
What causes a spontaneous pneumothorax? Cystic/bullous lung disease is a common cause of spontaneous pneumothorax in dogs. This includes Pneumothorax can either be large or small, and while small pneumothorax may resolve itself over time, more severe cases always require treatment. Observation is recommended for those with small pneumothorax, and the
Thoracic injury is common in dogs and cats following trauma, mainly encounters with automobiles. Thoracic trauma seldom occurs as an isolated injury; patients are often in shock and may have other significant injuries: abdominal, spine-medullar and cranium-encephalic lesions. The goal of this lecture will be to outline some basics of thoracic anatomy and physiology, pathophysiology Causes and Treatments of Pneumothorax in Dogs Imagine returning from a long day, expecting your dog’s usual excited greeting. Instead, you find them huddled in a corner, gasping for air, their sides heaving with each labored breath. Imagine returning from a long day, expecting your dog’s usual excited greeting.
Learn what leptospirosis is and how it is caused in dogs. Can it cause complications, or is it easily curable? Find out here.
If you see concerning signs and symptoms in your dog, then you must consult your veterinarian for a proper diagnosis and course of treatment. Here’s what you should know about the symptoms, causes, and treatments of pneumothorax in dogs. Learn about pancreatitis in dogs, a serious condition affecting the pancreas. Discover the causes, symptoms, treatment options, and how to help your dog recover.
- What Is Sherlock Holmes‘ Method Of Detection?
- What Is The Density Of Lead Under A Pressure Of
- What Is Gms And What Does It Contain?
- What Is House Sitting? Learn To House Sit.
- What Is The Chi-Squared Distribution? Extensive Video!
- What Is Narcolepsy And Do You Have It?
- What Is Electronic Liability Register?
- What Is The Cloud Service Availability Metric?
- What Is Taylor Swift’S Real Eye Color?
- What Is Ipv6 And How To Disable Ipv6 On Windows 10?
- What Is New In The Standard For Program Management Fourth Edition