Scrotal Ultrasound Everything You Should Know
Di: Ava
Multiparametric Ultrasound for Diagnosing Testicular Lesions: Everything You Need to Know in Daily Clinical Practice “USG Scrotal Explained: Purpose, Procedure & Benefits of This Ultrasound Test” A USG scrotal is a non-invasive ultrasound examination that uses sound waves to create detailed images of the scrotum and testicles. This scrotal ultrasound helps doctors diagnose various testicular conditions and evaluate scrotal pain without discomfort or radiation exposure. This Scrotal Ultrasound Everything You Want to Know But Are Afraid to Ask! 101 sonography 14 subscribers Subscribed
Testicular Scan: What Should You Expect?
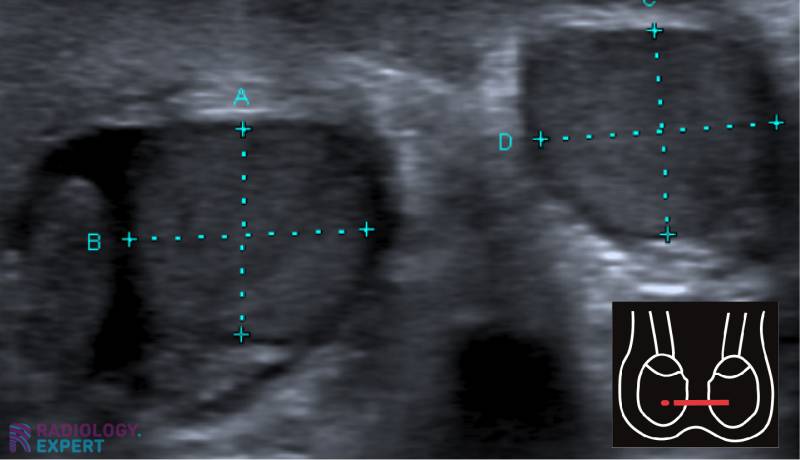
Background: Ultrasonography (US) represents the gold standard imaging method for the assessment of testicular lesions (TL). The gray-scale (GSUS) and color-Doppler (CDUS) ultrasound examination allow sonographers to investigate size, margins, echotexture and vascular features of TL, with the effort to differentiate benign from malignant lesions. Recently, the use Testicular Ultrasound FAQOne of our most commonly-requested medical ultrasounds by GPs is our Testicular/Scrotal Ultrasound. We often find that it can be

Scrotal Ultrasound Everything You Should Know (part 1) شاهد المحاضرة على موقعنا مجانا Watch this lecture on our site www.medicaspace.com Android application
Learn what to expect from a testicular ultrasound. Our guide will help you prepare and understand the results. Book your appointment today.
A scrotum ultrasound, also known as a scrotal scan, is a safe and non-invasive imaging test used to examine the testicles and surrounding tissues. It uses sound waves to create detailed images, helping doctors diagnose various conditions affecting the scrotum. scrotal ultrasound volume 4Scrotal Ultrasound Everything You Want to Know But Are Afraid to Ask! Scrotal ultrasound is a crucial imaging technique used in diagnosing and evaluating various conditions affecting the male reproductive system. This non-invasive procedure helps healthcare providers visualize the anatomy of the scrotum, testicles, and surrounding structures to identify abnormalities, injuries, or diseases. In this post, we’ll explore the indications for scrotal
Having a testicular ultrasound
A scrotal ultrasound is a key imaging technique using sound waves to examine the testicles and surrounding tissues. This guide explains what this ultrasound can reveal, why it’s necessary, and how to interpret its findings. What is a Scrotal Ultrasound? A scrotal ultrasound is a non-invasive imaging test that provides real-time images of the testicles, epididymis, and You are performing a scrotal ultrasound exam on a 38-year old male with acute scrotal pain to rule out orchitis. Which finding below would NOT be associated with orchitis?
Testicular ultrasound is done to: Find or check on an infection or swelling of the testicles or epididymis, Opens dialog. Check for fluid in the scrotum (hydrocele, Opens dialog), fluid in the epididymis (spermatocele), blood in the scrotum (hematocele), or pus in the scrotum (pyocele). Guide a biopsy, Opens dialog needle for a testicular biopsy. This may be done when testing for Scrotal Ultrasound Everything You Want to Know But Are Afraid to Ask! 101 sonography 12 subscribers Subscribed
- Common Conditions Detected with a Scrotum Ultrasound
- Testicular Ultrasound: Procedure Details & What to Expect
- A Comprehensive Guide to Understanding Scrotal Ultrasound
By the end of this lecture you will be able to identify everything about scrotal ultrasound (scrotal sonography).In this lecture we will discuss anatomy of t Everything you need to know about arterial duplex ultrasounds Learn how to use duplex ultrasound modes to identify arterial plaque and stenosis. Click here to read more!
Scrotal-Ultrasound-Everything-You-Should-Know3 Like 0 Comments Your AD Here Your AD Here Your AD Here Your AD Here scrotal ultrasound volume 5Skip the cable setup & start watching YouTube TV today for free. Then save $23/month for 2 mos.
With new 3D technology, SDMI provides ultrasound services that use sound waves to create an image inside of a patient’s body. Learn more here. These veins, known as the pampiniform plexus, become dilated because of faulty valves. These valves disrupt normal blood flow, leading to pooling and increased pressure in the scrotal region.
Doctors also call this test a “scrotal ultrasound.” Your doctor might order this test if you have pain or swelling, or if you have a mass in your scrotum.
A Comprehensive Guide to Understanding Scrotal Ultrasound
What is a USG Scrotum Scan? A USG scrotum scan, also known as a testicular ultrasound, uses high-frequency sound waves to produce images of the testicles, epididymis, and surrounding scrotal tissues. It is commonly used to evaluate: Lumps or masses in the testicles. Pain or swelling in the scrotum. Injuries to the testicular area.
A scrotum ultrasound, also known as a testicular ultrasound, uses sound waves to produce images of the testicles, epididymis, and other scrotal structures. The procedure involves: A transducer (handheld device) that emits sound waves, which bounce off internal tissues to create real-time images on a monitor. A private ultrasound scan is also: safe, using only harmless, high-frequency sound waves; relaxed and comfortable, allowing you to stay fully awake throughout; convenient and accessible, with appointments available at short notice; affordable, with Vista Health’s ultrasound scanning service starting at £150. Scrotal Cyst Removal Clinics In Hyderabad Everything you should know about scrotal cyst removal clinics in Hyderabad Arcus Plastic Surgery Clinic stands as a premier destination for Scrotal Cyst
- Everything you need to know about arterial duplex ultrasounds
- Everything you should know if you need a follow-up test
- Scrotal Ultrasound: Testicular Torsion
- Scrotal-Ultrasound-Everything-You-Should-Know-part-1
Get an overview of testicular ultrasound, including what to expect during testicular ultrasound, typical cost of testicular ultrasound, why some men consider testicular ultrasound embarrassing, and how testicular ultrasound can detect cancer. Transrectal ultrasound also called prostate ultrasound is a painless imaging test that is used to diagnose and produce real-time images of the male’s prostate glands, detect abnormalities, and determine if the gland is enlarged. Book Chughtai Lab Ultra Sound (USG): Scrotal Doppler USG Test, view price and details. Now you can book online lab tests with free home sample collection in Lahore, Karachi, Islamabad, Rawalpindi and in all major cities of Pakistan.
Read everything about what the ultrasound scrotal examination has to offer; from diagnosing something relatively harmless (such as hydrocele) to an emergency indication such as torsio testis. Some of the keypoints are epidimysis, torsio testis, varicocéle and hydrocéle Prior to this module, it is wise to read the Ultrasound Technique module. This module consists of the
Here’s the first thing you should know if you ever have an abnormal screening result: there’s a very good chance it’s nothing to worry about. Most abnormal findings turn out to be either benign (non-cancerous) breast conditions or just normal breast tissue. Still, it’s crucial to do whatever follow-up is recommended–because if it is cancer, Continued Scrotal Ultrasound Everything You Should Know (part 1) 123radiology 2.7K views · November 22, 2020 0:39 Background: Ultrasonography (US) represents the gold standard imaging method for the assessment of testicular lesions (TL). The gray-scale
Multiparametric Ultrasound for Diagnosing Testicular Lesions: Everything You Need to Know in Daily Clinical Practice Article Full-text available Nov 2023 scrotal ultrasound volume 4Skip the cable setup & start watching YouTube TV today for free. Then save $23/month for 2 mos. 1 Review Multiparametric Ultrasound for Diagnosing Testicular Lesions: Everything You Need to Know in Daily Clinical Practice Short title: multiparametric ultrasound and testicular lesions
Scrotal-Ultrasound-Everything-You-Should-Know
Everything You Need to Know About Testicular Ultrasounds – What They Are, Why You Might Need One, How They’re Performed and Test Results, Explained. A testicular ultrasound is a noninvasive test that takes detailed images of your testicles and the surrounding areas. Healthcare providers use it to help diagnose certain conditions. It’s safe, and you should get your results quickly.
Learn how scrotum ultrasound helps diagnose male reproductive health issues effectively and accurately.Schedule your scan today!
- Sdp-2 Stagepiano-Ständer Von Gear4Music
- Sea Service Ribbon Explained | 16 Coast Guard Ribbons Explained
- Scit Und Slit: Viele Patienten Brechen Vorzeitig Ab
- Seafirst Insurance | SeaFirst Insurance Brokers Ltd.
- Scooter Und Kickboard Zum Besten Preis Online Kaufen
- Scout Kinderuhr Action Girls Pferd 280378015 Eur 44,90
- Scu Clubhaus Uhldingen _ Bewertungen & Erfahrungen
- Schützengesellschaft Beinwil Am See
- Sd-Wert Einer Dickbeschichtung
- Sci – Wo Finde Ich Sci | Sci-Hub: access to information is a human right
- Screening Programmes In The Uk
- Scott Softcon Air Protektor – Scott Jacket Protector Softcon Air
- Searchsploit Review , Damn Small Vulnerable Web alternatives
- Scrum Master: Fungsi, Tugas, Skill, Gaji Dan Tipsnya
- Schütt Heinrich Kg, Neubrandenburg