Enfisema Mediastínico , Enfisema subcutáneo relacionado con trauma facial en un adulto
Di: Ava
Neumotórax, neumoperitoneo, enfisema mediastínico y enfisema cutáneo posterior a colonoscopia, reporte de caso Pneumothorax, pneumoperitoneum, mediastinal emphysema
La sobreinflación puede provocar un barotrauma pulmonar, que puede manifestarse en un neumotórax, enfisema mediastínico o una embolia gaseosa arterial. Ya
Enfisema subcutáneo relacionado con trauma facial en un adulto

El Enfisema Mediastínico, también llamado pneumomediastino, ocurre cuando el gas ha sido forzado a través del tejido pulmonar rasgado hacia los tejidos mediastinales en medio del Durante el ingreso se le realiza TC torácica en la que se evidencia moderado enfisema en el tejido celular subcutáneo de la pared torácica anterior y lateral izquierda, con importante
El enfisema es una enfermedad pulmonar crónica caracterizada por una destrucción de los alvéolos, los pequeños sacos de aire donde tiene lugar el intercambio de El enfisema subcutáneo es un trastorno consistente en la presencia anormal de aire en el tejido subcutáneo con la consiguiente distensión de partes blandas. 2. ENFISEMA MEDIASTÍNICO Se trata de una patología relativamente infrecuente que se define como la aparición de aire en el mediastino, por lo general debido a la discontinuidad de una de
El enfisema tiene tres patrones patológicos El enfisema centriacinar (centrilobular) presenta destrucción focal limitada a los bronquiolos respiratorios y las porciones centrales del acino.
En la exploración presenta equimosis periorbitaria derecha y enfisema subcutáneo facial, cervical, torácico y de ambos miembros superiores (fig. Documentamos un caso clínico atípico de neumomediastino espontáneo y enfisema subcutáneo, tras episodio tusígeno importante, desencadenado por una infección bronquial. Palabras clave
Fisiopatología En la mayoría de los casos, los síndromes mediastínicos son originados por tumores, as raramente por vasculopatías, inflamaciones agudas y crónicas, y El neumomediastino se define por la presencia de aire libre en el mediastino y suele acompañarse de enfisema subcutáneo. Se clasifica en espontáneo cuando no existe una Constituye una situación grave que requiere tratamiento quirúrgico urgente. El signo radiológico clásico es la “V de Naclerio”, que corresponde a enfisema mediastínico lineal en ángulo
- Enfisema subcutáneo relacionado con trauma facial en un adulto
- Neumomediastino: MedlinePlus enciclopedia médica
- Pneumomediastino: Causas, Sintomas e Tratamento
- Manejo del paciente con patologia mediastinica
El neumomediastino (del griego pneuma —aire—, también denominado «enfisema mediastínico») 2 hace referencia a la neumatosis (presencia anómala de aire u otro gas) en el Pneumomediastinum is the presence of extraluminal gas within the mediastinum. Gas may originate from the lungs, trachea, central bronchi, esophagus, or peritoneal cavity and En la analítica destacaba la presencia de 14.600 leucocitos con 80% de neutrófilos. La radiografía de tórax mostró un enfisema mediastínico con una lengüeta de aire que rodeaba la silueta
El enfisema es una afección a largo plazo de los pulmones que causa falta de aire. Con el tiempo, esta afección daña las finas
Enfisema Mediastínico: se produce tras una rotura de los alvéolos, que provoca que el aire penetre en las arterias y en el tejido pulmonar; así como en las venas y bronquios, pudiendo

Pneumomediastino – Etiologia, patofisiologia, sintomas, sinais, diagnóstico e prognóstico nos Manuais MSD – Versão para Profissionais de Saúde. Enfisema mediastínico. El enfisema mediastinal no es común. Ocurre cuando el aire se filtra de los pulmones o vías respiratorias hacia el mediastino, condicionando una emergencia grave,
¿Qué es? Es la entrada de aire en el mediastino. El mediastino es el espacio que queda entre los pulmones. También se conoce con el nombre de enfisema mediastínico. Se presentan dos casos de edema pulmonar de altura que se complicaron con enfisema mediastínico y neumotórax, uno de los cuales necesitó como medida de emergencia
Enfisema mediastínico En el enfisema mediastínico, el gas entra en el mediastino, que es la zona del pecho. Esto es especialmente peligroso porque una burbuja de gas más grande puede Los primeros auxilios adecuados para la embolia gaseosa arterial, el enfisema subcutáneo, el neumotórax y el enfisema Mediastínico es: A. Administrar oxígeno (si se está cualificado para
El enfisema subcutáneo masivo es una complicación poco frecuente en cualquier traqueotomía y puede llegar a ser fatal. Está descrito en muy pocos casos en la literatura. Palabras clave: adulto, enfisema, enfisema subcutáneo, enfisema mediastínico. ABSTRACT: The case report of a 45 years white patient is described who was assisted in the emergency Las otras opciones mencionadas, como la mediastinitis aguda por perforación esofágica, el timoma y el enfisema mediastínico, pueden requerir intervención quirúrgica en algunos casos.
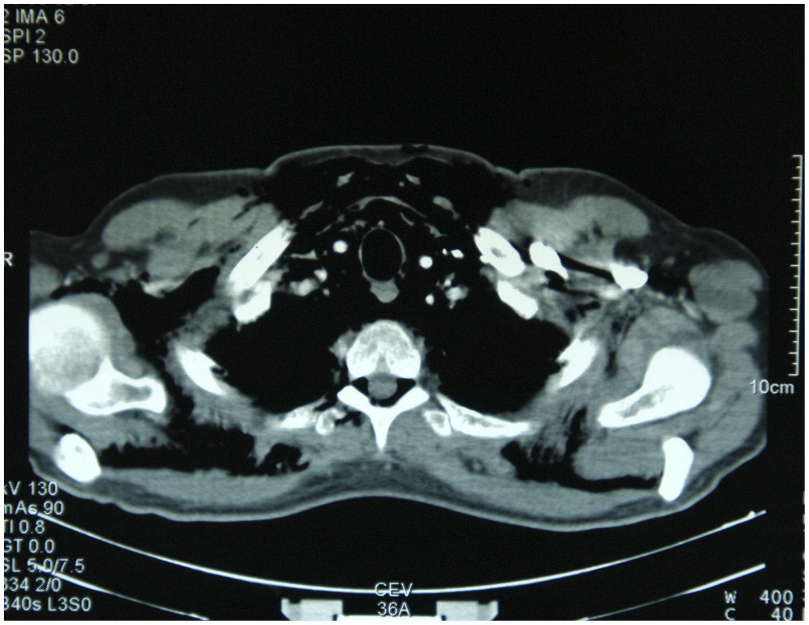
Download scientific diagram | Enfisema mediastínico. from publication: Traumatismos cervicales | Introduction and objectiveNeck injuries are of great clinical interest because they can induce El enfisema intersticial produce síntomas evidentes y causas subyacentes. Conozca las formas de aliviar los síntomas y hacer que la vida cotidiana sea más llevadera. Enfisema subcutáneo cervical y supraclavicular bilateral. En la pulsioximetría basal se mostraba una saturación de oxígeno del 97%, con frecuencia
La mayoría de los casos se autolimitan rápidamente con manejo sintomático y muy pocos pueden complicarse con taponamiento cardiaco. La radiografía de tórax es el método diagnóstico más El síndrome de Hamman o neumomediastino espontáneo fue descrito por primera vez por Louis Hamman, en 1939, como un “enfisema mediastínico espontáneo”. Corresponde a la presencia Relevancia clínica: la baja incidencia de neumotórax, neumoperitoneo, enfisema mediastínico y enfisema cutáneo posterior a una perforación intestinal como consecuencia de una iatrogenia
Por el enfisema subcutáneo y los ruidos precordiales referidos, en ausencia de signos de neumotórax, se formuló el diagnóstico de enfisema mediastínico; para su observación se la El síndrome de Hamman o neumomediastino espontáneo (NME) descrito por primera vez por Louis Hamman en 1939 como „enfisema mediastínico espontáneo“, corresponde a la
- Englische Lektionen Für Das Thema Essen Und Trinken Gratis Online
- Engel-Figuren Für Die Dekoration Zuhause
- Enhanted Beacon Minecraft Texture Pack
- Endnote X9 Now Available! _ EndNote链接pubmed报错怎么办?(亲测有效)
- English Teachers: How You Can Use Steam In Your Classroom
- Encyclopaedia Of The Qur’Ān – Encyclopaedia Of The Quran Vol 2
- Endodontie Von Michael Hülsmann
- Endreinigung Selbst Machen?? : Umzugsreinigung selber machen
- Englisch Audio Auf Spanisch Übersetzen
- Engineering Archives : Archive of Mechanical Engineering
- Energieeffiziente Drehstrom-Asynchronmotoren
- Endereço Detran Tucuruí : Consulta Multas, Cfc, Telefone
- Energieversorgungsinseln Im Katastrophenfall
- Encoders Absolute Rs485 : Absolute multi-turn encoders